Семья и дети
Размер текста
А
А
А

У российского подростка с жалобами на тошноту нашли опухоль мозга

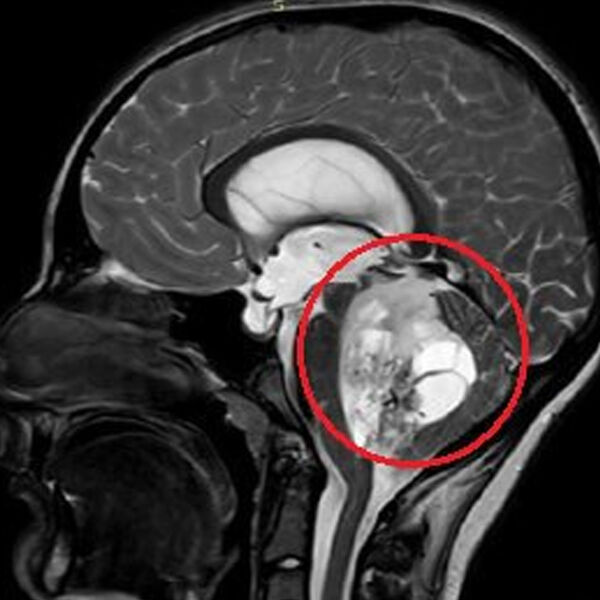
В Подмосковье врачи спасли подростка, удалив ему гигантскую опухоль мозга
true
true
true

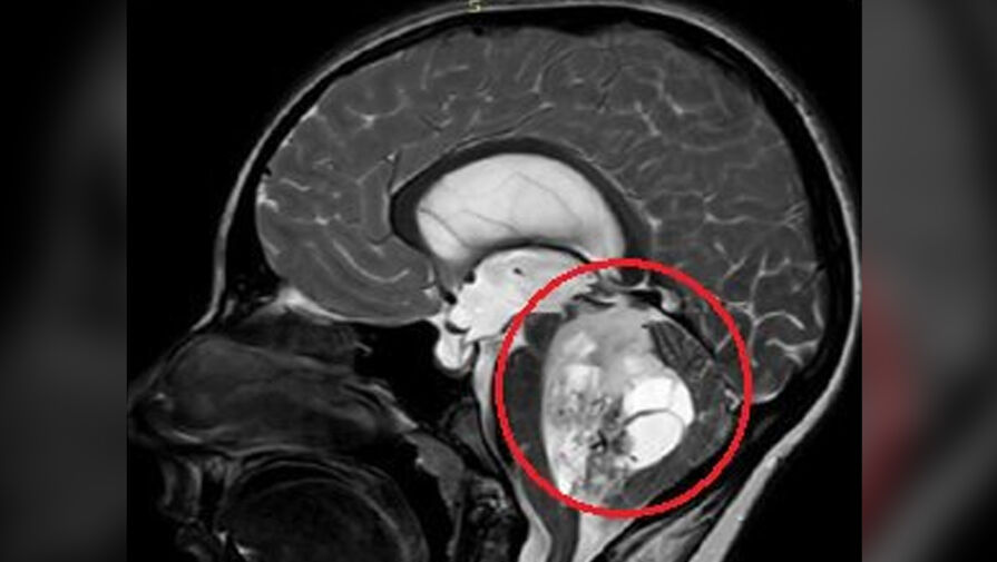
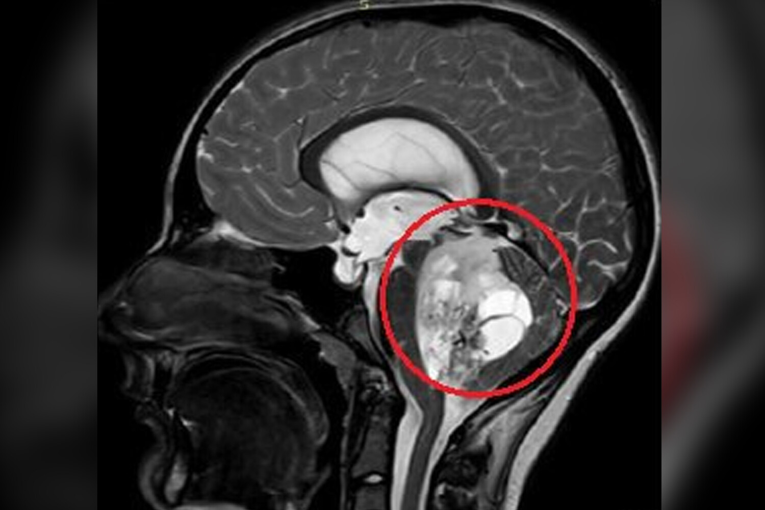
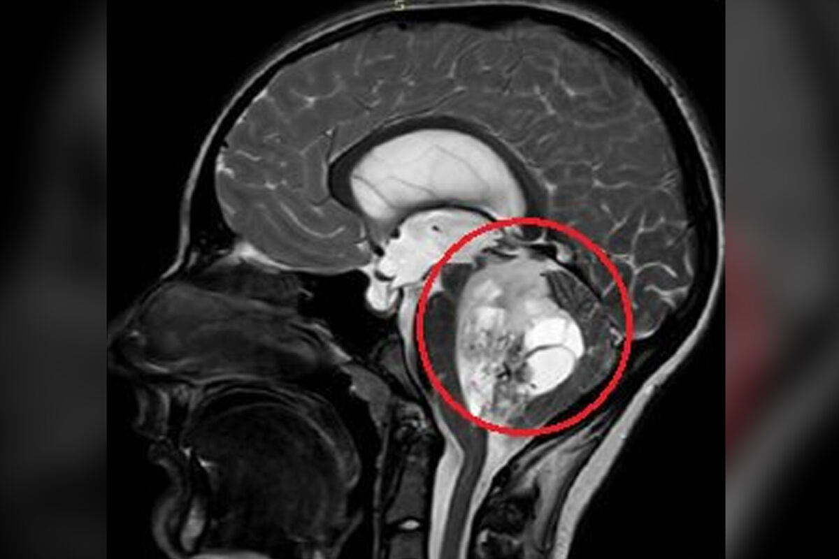
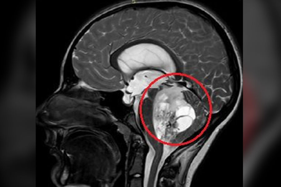
Врачи Детского центра имени Рошаля спасли 15-летнего подростка, удалив ему объемное новообразование в мозге. Об этом сообщили в пресс-службе медицинского учреждения.

По словам медиков, юноша жаловался на постоянную тошноту и рвоту, которые не удавалось купировать консервативными методами. На обследовании специалисты обнаружили пятисантиметровую опухоль в задней черепной ямке. По словам врачей, ее дальнейший рост мог привести к нарушению жизненно важных функций мальчика.

«Сложность данного случая заключалась в том, что опухоль росла из области, которая отвечает за жизненно важные функции - любое, даже маленькое повреждение могли привести к тяжелым неврологическим осложнениям», — отметили нейрохирурги.

Мальчика положили на операцию, которая прошла успешно. Сейчас юноша чувствует себя хорошо, его выписали домой.

Ранее в Казани спасли школьника, провалившегося в вентиляционную шахту.

Что думаешь?